原标题:输卵管间质部妊娠(急腹症)
当年普外轮转时,科里有位高手,看到新收住院的一位面色苍白、弓腰捂着肚子的年轻女患,他随即对管床大夫说,这个阑尾炎可别是宫外孕……今天这个病例使我想起了过往。 对于全科医生,超声就相当于未来的听诊器,是最实用的诊断手段,可惜以前都是只看回报,典型的声学检查的影像,没机会看,现在越来越多的病例会附上典型视频,弥补了以前的不足。这个病例还有一个鉴别诊断的问题,是输卵管间质部妊娠还是宫角妊娠?
病例介绍
患者年龄:26岁
患者性别:女
突然出现下腹疼痛伴有出汗和恶心1小时急诊。
患者孕12周5天,G4P0A4。
检查时,没有发热,脉搏率为104次/分钟,血压为115/71毫米汞柱,红细胞压积水平为35.3%,白细胞计数为12600/μL。
超声检查:

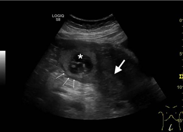
超声显示腹腔内有游离液体,可见偏心妊娠囊,子宫肌层覆盖层薄,子宫内膜腔空虚,间质线征阳性。

图:经腹超声显示胎囊位于子宫底右侧(星号),远离子宫内膜腔(白色大箭头)。图中还显示菲薄肌层(细白色箭头)。
临床诊断:输卵管间质部妊娠。
输卵管间质部妊娠是指植入输卵管间质部分的异位妊娠。输卵管间质部妊娠占所有异位妊娠的2%至3%,但其死亡率是其他输卵管妊娠的2倍以上(2.2%对<1%)。风险因素包括以前的异位妊娠、输卵管手术、体外受精、诱导排卵和性病史。临床症状取决于胎龄。准确诊断仍然有挑战性。超声检查的高灵敏度使其成为诊断输卵管间质部妊娠的最佳一线检查。超声诊断标准包括空虚的子宫内膜腔、偏心的孕囊、薄的或不对称的子宫肌层和阳性的间质线征。
2022-05-03
责任编辑:


还没有内容